2017-12-12 丨 2369818 丨
近日,丽水市第二人民医院全院性CT/磁共振(MRI)诊断系列讲座之《肺磨玻璃结节的CT诊断与临床处理策略》在行政楼五楼会议室举行。
讲座由赵龙友副院长主持
放射科主任张一平主讲
此次讲座目的旨在于提高全院医务人员的阅片水平,为临床诊断提供更精准的依据。为我院就诊患者提供全方位全周期健康服务。
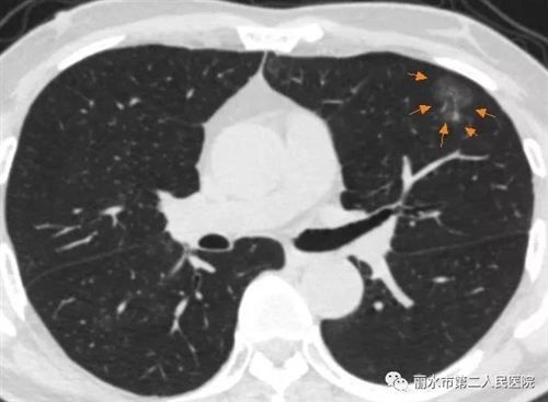
什么情况下会出现磨玻璃结节呢?
一般来说,肺内的良、恶性病变有时候均可以在肺部薄层CT影像上表现为磨玻璃结节,常见的原因可以是炎症、出血、不典型腺瘤样增生,当然也有可能是早期肺癌,包括原位癌、微浸润癌。
在患者拿着肺部磨玻璃结节的影像学报告咨询医生时,医生往往建议患者在较长的时间内随诊复查,而不是根据一次检查结果做出是良性病变还是恶性病变的结论。也就是说,出现肺部磨玻璃结节并不一定就是罹患肺癌,因此,患者也不需要谈磨玻璃结节而色变,焦虑而又不知所措。
什么样的磨玻璃结节有可能预示着得了肺癌呢?
一般来讲,弥漫性生长的、边缘不清晰的、以纯磨玻璃表现为主的、短时间随访可消失的多数是良性病变;以局灶性生长为特征的、边缘清晰且伴有明显分叶、空泡、胸膜凹陷征、或病变内有明显实性成分的病变常提示恶性。
文:科教科 刘慧慧
审核:邓丽云 编辑:马志春




